
Zufriedene Patienten Sind die Besten Argumente
Wir sind der Meinung, dass die besten Argumente für eine Behandlung in unserer Praxis neben den vielen positiven menschlichen sowie fachlichen Komponenten veranschaulichte Patientenbeispiele sind. Daher haben wir nachfolgend einige Patientenfällt für Sie zusammengestellt und möchten Ausgangssituation, Behandlung und natürlich das Ergebnis dokumentieren. Viel Freude bei der Sichtung!
Biss Korrektur Harmonie Zahnfarbe Zahnstellung Schienentherapie
Biss
Aufgabe: Die Patientin, eine junge Studentin war nach einer unglücklichen KfO Behandlung unzufrieden mit dem Biss. Behandlung: Ohne Anschleifen der Zähne wurden diese zunächst auf die Wunschfarbe gebleacht. In einer zweiten Sitzung wurde der Biss mit Composite begradigt. Patientin glücklich, Zahnärztin glücklich.
Korrektur
Aufgabe: Die Patientin, 40 Jahre, kam mit dem Wunsch, die „schwarzen Dreiecke“ im Unterkiefer zu schließen. Es sollten jedoch keine Veneers verwendet werden und die Zähne sollten möglichst nicht beschliffen werden. Behandlung: Wir haben bei ihr in nur einer Sitzung Composite angetragen. Das Ergebnis spricht für sich.
HArmonie
Aufgabe: Die Patientin, 65 Jahre alt, kam mit dem Wunsch nach einem harmonischeren Erscheinungsbild. Sie hat selbst viel Kundenkontakt und aus familiären Gründen gerade sehr wenig Zeit. Behandlung: In einer ersten Sitzung wurde der Schneidezahn mit Composit aufgebaut. In der weiteren Sitzung wurde noch eine Füllung erneuert. Die Patientin ist glücklich, daß wir ihr schnell helfen konnten.
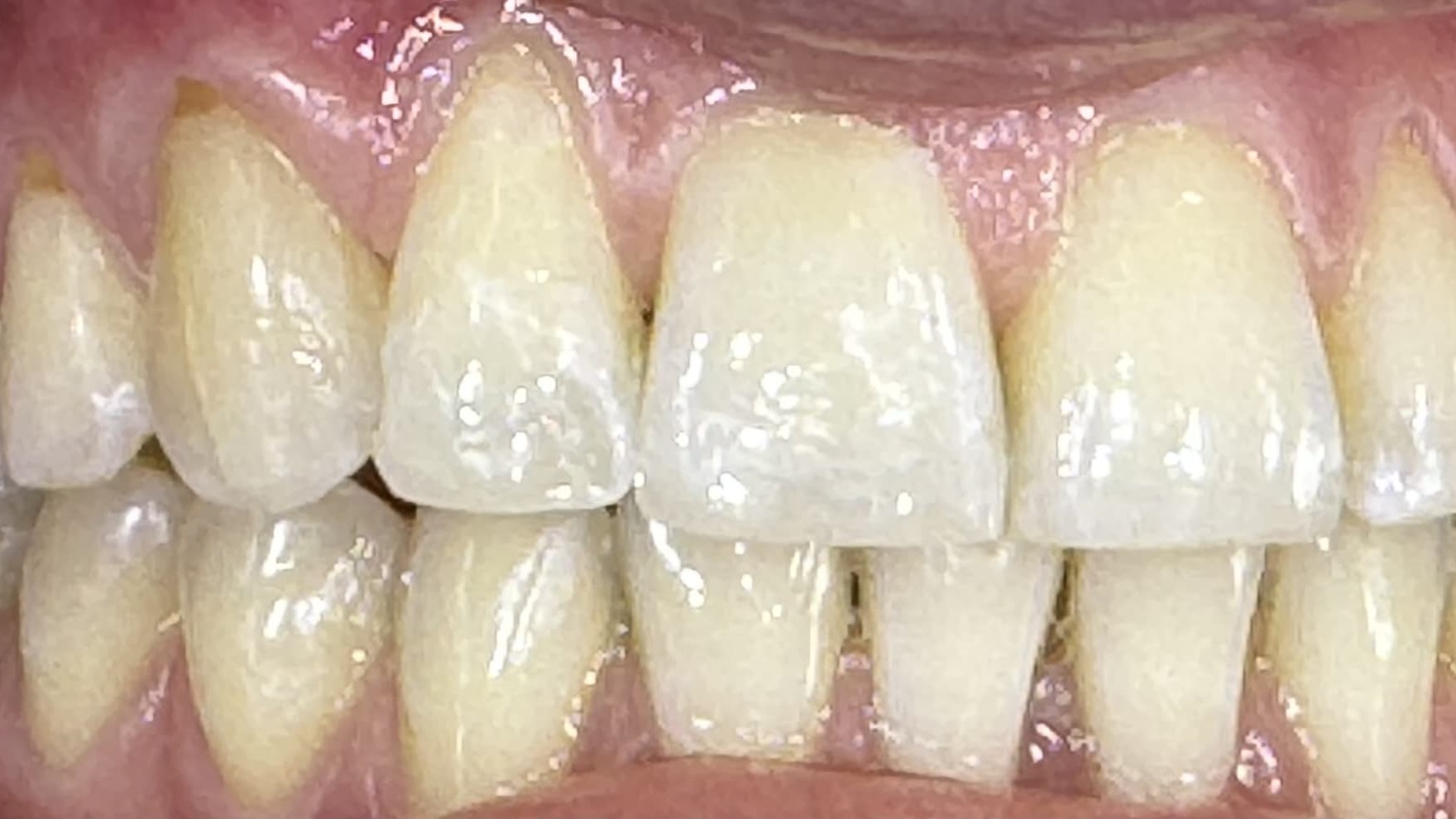
Zahnfarbe
Aufgabe: Eine junge Patientin kam zu uns mit dem Wunsch ihre Zahnlücken zu schließen. Darüber hinaus war sie sehr unzufrieden mit ihrer Zahnfarbe. Behandlung: Daraufhin wurde eine eine Aligner Therapie mit Harmonieschiene durchgeführt und die Zähne wurden professionell aufgehellt. Die seitlichen Schneidezähne wurden mit Composite verbreitert.
Zahnstellung
Aufgabe: Patient, 30 Jahre alt, war mit der Optik seiner Zähne, insbesondere der Zahnstellung und des durchschimmernden Implantats nicht glücklich. Er hatte schon eine Therapie mit einer festen Zahnspange hinter sich. Behandlung: Um die Zahnfehlstellung zu optimieren, haben wir eine Alignerbehandlung durchgeführt. Da wird mit fast unsichtbaren Schienen gearbeitet. Anschließend wurde eine kleine Zahnfleisch-Korrektur durchgeführt, damit das dunkle Implantat nicht mehr so durchschimmert. Anschließend wurden die Zähne noch aufgehellt und ein Zahn wurde minimalinvasiv mit einem Compositaufbau optisch verlängert. Der Patient kann nun wieder strahlen. Hier zeigt sich, wie komplex solche Fälle sein können.
Schienentherapie
Aufgabe: Die Patientin kam mit starken CMD Beschwerden in unsere Praxis. Behandlung: Nach Vermessungen mit Centric-Guide und einer Schienentherapie konnte die Patientin wieder schmerzfrei ihren Alltag bestreiten. Solche Fälle erfordern ein hohes Maß an Erfahrung und Ausbildung.
Harmonie
Aufgabe: Die Patientin war mit der Schneidekantenfüllung unzufrieden. Behandlung: Nach Erneuerung mit einem besseren und auch hellerem Material war sie sehr glücklich.
Zahnfarbe
Aufgabe: Der junge Patient wollte ohne großen Aufwand seine Zähne verschönern Behandlung: Hier wurde zunächst ein schonendes Bleaching vorgenommen und danach wurden ohne Anschleifen der Zähne mit neuesten Methoden und Materialien kleinste Aufbauten gemacht. Der junge Patient war sehr zufrieden.

















